问题:
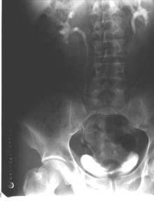
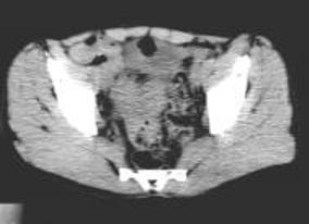
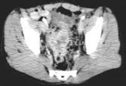
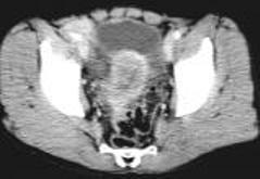
病历摘要:男,54岁病史:间歇性肉眼血尿伴下腹部隐痛7月余。为全程血尿,浓茶色,并有尿频尿急尿痛。当地医院曾造影检查示“膀胱结石”,入院前3天当地医院检查示“膀胱肿瘤”体查:心肺腹无明显阳性体征,双肾区无叩痛,双输尿管行程无压痛点,膀胱区未见肿胀、隆起实验室检查:尿常规:淡黄色,混浊,潜血大量,镜检白细胞370/μl(↑)





病历摘要:男,54岁病史:间歇性肉眼血尿伴下腹部隐痛7月余。为全程血尿,浓茶色,并有尿频尿急尿痛。当地医院曾造影检查示“膀胱结石”,入院前3天当地医院检查示“膀胱肿瘤”体查:心肺腹无明显阳性体征,双肾区无叩痛,双输尿管行程无压痛点,膀胱区未见肿胀、隆起实验室检查:尿常规:淡黄色,混浊,潜血大量,镜检白细胞370/μl(↑)





● 参考解析
本题暂无解析
相关内容
相关标签