“起于中焦,下络大肠”的经脉是()。 足阳明胃经。 足太阴脾经。 手少阴心经。 手阳明大肠经。 手太阴肺经。
属于发病类型的是() 徐发。 感邪即发。 伏而后发。 继发。 复发。
脂溶性维生素不包括() 叶酸。 维生素K。 维生素D。 维生素A。 维生素E。
患者女,34岁。突发阵发性腹痛伴恶心、呕吐,血便40小时。查体:消瘦、贫血貌。腹稍胀,全腹软。右中下腹可扪及一8cm×6cm肿块,质中,轻压痛,上下可以推动,肠鸣音活跃,音调稍高。采用X线下空气灌肠复位后,患者感腹痛加重,发作间歇缩短,并出现腹膜刺激征,此时,治疗的最佳方案是() A.再次X线下空气灌肠复位。 急诊手术探查。 试用手法按摩复位。 改用植物油灌肠。 给予解痉止痛药物。继续密切观察。
女,48岁,习惯性便秘多年,近日感左少腹作痛,按之累累有硬块,舌淡红,苔薄黄,脉沉缓多为() 肠痈。 痛经。 瘕聚。 虫积。 宿粪。
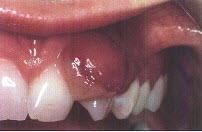
妊娠瘤的临床表现是()。