问题:
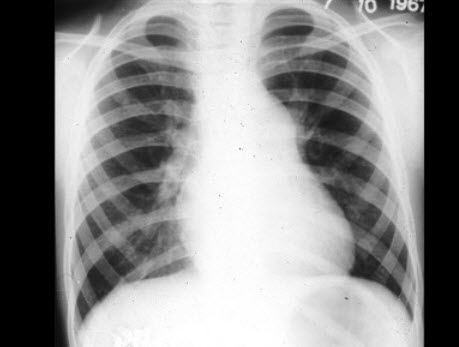
男孩,8岁。体检时发现胸骨左缘第2肋间有粗糙喷射性全收缩期杂音,向颈部传导,肺动脉瓣区第2音减弱。经右心导管检查,证实为中度肺动脉瓣狭窄。进行X线检查,如图所示,下列哪一项不是特点()
A . A.有时右心房增大
B . B.右心室有不同程度增大
C . C.肺动脉段多平直
D . D.肺动脉总干膨出
E . E.肺血减少,肺野清晰
男孩,8岁。体检时发现胸骨左缘第2肋间有粗糙喷射性全收缩期杂音,向颈部传导,肺动脉瓣区第2音减弱。经右心导管检查,证实为中度肺动脉瓣狭窄。进行X线检查,如图所示,下列哪一项不是特点()
● 参考解析
本题暂无解析
相关内容
相关标签