关于禁水试验正确的是() 如患儿烦渴加重并出现严重脱水症状或体重下降超过10%,应停止试验。 观察患儿在细胞外渗透压增高时的尿浓缩功能的能力。 尿崩症患儿在禁水试验中,每小时尿量减少明显。 正常儿童尿比重逐渐上升,尿渗透压可达800mmol/L。 尿崩症患儿血钠上升超过145mmol/L。
护士为患者输血时,发现输血袋破损漏血现象,即与血库联系退换事宜,属于() 前馈控制。 过程控制。 反馈控制。 质量控制。 预防控制。
拔除牙槽窝内低位断根时,根挺用力应当从()。 牙槽窝近颊侧插入牙槽骨与根之间。 牙槽骨较薄一侧插入牙槽骨与根之间。 根断面较低的一侧插入牙槽骨与根之间。 牙槽骨较厚的一侧插入牙槽骨与根之间。 根断面较高的一侧插入牙槽骨与根之间。
一患者车祸后2小时送至医院,诉咳嗽、胸部疼痛。查T36.5℃,P130次/分,R30次/分,BP90/60mmHg,神志清晰,右胸部压痛明显,右肺呼吸音低,右下肢有骨折征。胸片示:右侧液气胸。如欲明确有无进行性血胸,则诊断依据不包括() A.脉快血压持续下降。 胸腔引流连续3个小时总量300ml。 Hb、RBC反复测定呈持续下降。 胸膜腔穿刺抽不出血,但X线示胸内阴影增大。 经输血补液后血压不回升逐渐下降。
精神性多饮患儿的临床表现有哪些() 渐进性起病。 夜间饮水较少。 常伴有精神因素存在。 血钠升高。 尿比重低且固定。
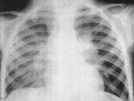
女,3岁,低热、咳嗽2月余,结合胸片,最可能的诊断为()
