男,27岁,外伤后尺腕部疼痛,结合图像,最可能的诊断是() A.未见异常。 B.三角骨无菌性坏死。 C.三角骨骨折。 D.尺骨骨折。 E.三角纤维软骨复合体裂伤。
女,22岁,右髋部疼痛进行性加重,结合图像,最可能的诊断是() A.骨巨细胞瘤。 B.內生软骨瘤。 C.股骨无菌性坏死。 D.股骨头感染。 E.软骨母细胞瘤。
女,55岁,第三趾肿胀,结合图像,最可能的诊断是() A.化脓性关节炎。 B.未见异常。 C.骨髓炎。 D.结核。 E.化脓性关节炎并骨髓炎。
关于羊水量,下列哪项是错误的() A.羊水是随着妊娠的增长而逐渐增多的。 B.孕20周时约为400ml。 C.妊娠足月时,羊水量约为1000ml。 D.羊水量大于2000ml为羊水过多。 E.羊水量小于300ml为羊水过少。
关于羊水,下列哪项是错误的() A.羊水中含有胎儿尿液。 B.羊水可被胎儿吞咽。 C.妊娠16周后,可见少量羊水出入呼吸道。 D.羊水中含肌酐是病态。 E.羊水中胆红素随妊娠进展而下降。
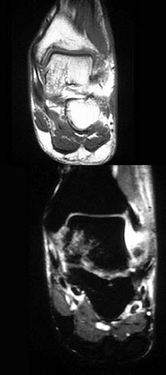
男,30岁,踝关节有内翻外伤史,结合图像,最可能诊断是()