男,62岁,直肠肿瘤术后半年。结合超声声像图,诊断为() A.肝血管瘤。 B.肝囊肿。 C.结节性肝硬化。 D.转移性肝癌。 E.肝脓肿。
下列哪项与HIV病毒侵入靶细胞无关() A.CD4蛋白。 B.HIVRNA。 C.CCR5受体。 D.CXCR4受体。 E.gp120和gp41。
下列哪项未包括在艾滋病期表现中() A.类血清病样表现。 B.机会性感染。 C.神经系统症状。 D.肿瘤发生。 E.全身淋巴结肿大。
HIV感染者的体液和分泌物哪种传染性最大() A.血液。 B.汗液。 C.羊水。 D.唾液。 E.精液和阴道分泌物。
男,50岁,右上腹疼痛,乏力,纳差。结合超声声像图,诊断为() A.肝血吸虫病。 B.巨块型肝癌。 C.肝血管瘤。 D.肝脓肿。 E.肝囊肿。
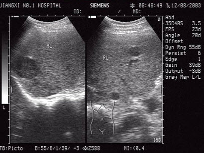
男,30岁。超声声像图如图,诊断为()
