女,36岁,左侧腰痛2年余,CT检查如图所示,下列说法错误的是() 左肾下极可见一混杂密度病灶,边界尚清。 左肾病灶中可见脂肪密度灶,该区增强时无强化。 右肾中极可见一小类圆形混杂密度病灶。 考虑为肾癌。 考虑为双肾错构瘤。
民法的基本原则包括()。 应急性原则。 平等原则。 自愿原则。 公平原则。 等价有偿原则。
民法基本原则具有的重大意义包括()。 民事立法的指导方针。 一切民事主体应遵循的行为准则。 解释民事法律法规,补充法律漏洞的依据。 发展民事学说的基础。 是保证建设社会主义法治国家的重要法律。
女,12岁,右腰部疼痛10天,尿检可见大量的脓细胞,CT平扫+增强如图所示,最可能的诊断是() 右肾脓肿。 右侧感染性肾囊肿。 右肾转移癌。 右侧肾癌。 右肾结核。
我国民法统一调整平等主体之间的财产关系,基于社会主义市场经济的客观要求需要的前提包括()。 独立商品的所有者。 交换双方一方承认对方的所有权。 商品交换只能是经营者一方的意志行为。 交换双方彼此承认对方的所有权。 商品交换只能是双方共同一致的意志行为。
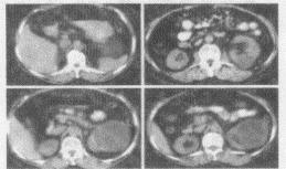
女,55岁,发热,左侧腰部痛胀不适4天,CT检查如图所示,下列说法错误的是()
