关于图中所示的人类免疫缺陷病毒,以下哪项不正确() A.含有9个基因。 B.属于单链DNA病毒。 C.属于逆转录病毒科。 D.呈球形20面体结构。 E.分为HIV-1和HIV-2。
关于HIV的初筛试验的描述,正确的是() A.快速凝集筛选试验。 B.ELISA法HIV抗体检测。 C.放射免疫测定试验。 D.Western印迹法。 E.PCR法。
HIV感染的孕妇,25岁,已妊娠14周,防止母婴传播的最好方法是() A.注射抗-HIV免疫球蛋白。 B.口服齐多夫定。 C.口服奈韦拉平。 D.立即终止妊娠。 E.注射抗-HIV疫苗。
HIV不能通过下列哪种途径传播() A.性接触。 B.输血。 C.母婴。 D.握手。 E.共用注射器注射。
抗-HIV用药最佳方案是() A.3药联用后待病毒降到接近于零时逐渐停药。 B.先用1种NRTI,如无效再加用2种。 C.一开始就3药联用。 D.一开始就用2种有效药物。 E.视病情选用1种药或2~3种药物联用。
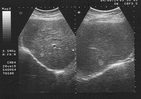
女,40岁,有时右上腹隐痛2年余。结合超声声像图,最可能的诊断为()