男性,32岁。发热、咽痛伴齿龈出血及乏力半个月。查体发现浅表淋巴结和脾脏轻度肿大。外周血象检查结果显示:Hb60g/L,WBC2.5×109/L,N0.52,PLT42×109/L,血涂片红细胞形态正常。骨髓有核细胞增生明显活跃,原始细胞0.46。该患者外周血白细胞数不增高,血片也未见幼稚细胞,可能的原因是() ["骨髓原始细胞数少,不能进入血循环","白血病合并粒细胞缺乏症","急性增生性白血病","急性低增生性白血病","白血病细胞分化成熟未受阻"]
某孕妇现孕34周,那么,她的血浆量比未孕时约增加()。 ["50%","45%","40%","35%","30%"]
患者,男,26岁,近日便中带血,需做乙状结肠镜检查,护士最好为患者安置()。 ["仰卧位","截石位","俯卧位","仰卧屈膝位","膝胸卧位"]
既具有T2加权图像特点,又将脑脊液信号抑制了的序列为() ["FLASH","FLAIR","TSE","TGSE","FISP"]
末次月经为2008年5月20日,预产期为()。 ["2009年1月27日","2009年2月27日","2009年3月29日","2009年3月20日","2009年3月27日"]
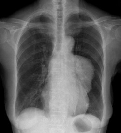
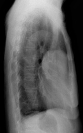
病历摘要:胸腺瘤患者,女性,55岁,重症肌无力多年,发现贫血1年余。查体.双侧眼睑下垂,面色苍白。行胸部平片检查。 
