女,65岁,右面部发作性疼痛2年,诊断为原发性三叉神经痛。治疗应先用()。 卡马西平。 周围支神经纯酒精封闭。 三叉神经节射频热凝。 周围支神经切断术。 三叉神经感觉根切断术。
患者男,30岁,左侧额部车祸伤后头痛、视物不见3小时。曾呕吐2次。眼部检查:左眼直接光反应消失,间接光反应存在:右眼眼直接光反应存在,间接光反应消失。首先应做的检查是() A.双眼正侧位片。 双眼眶及颅脑CT。 双眼B超。 双眼VEP。 腹部B超。
恶性肿瘤实施血管栓塞术的目的不包括() 肿瘤缩小便于手术。 减少手术中出血。 使肿瘤消失。 晚期肿瘤的姑息治疗可以减慢发展。 减轻痛苦。
关于机械通气下用吸气末阻断法测定气道阻力的说法正确的是() 根据测定的峰压和平均压计算而得。 一般选用定压控制通气模式。 所测的值会高于真正的阻力数值。 反映的是气道黏滞阻力、弹性阻力和惯性阻力之和。 不同流速测定的结果也具有可比性。
PR间期延长,P波后均有QRS波群,PR间期>0.20秒() 第一度房室传导阻滞。 第二度Ⅰ型房室传导阻滞。 第二度Ⅱ型房室传导阻滞。 第三度房室传导阻滞。 高度房室传导阻滞。
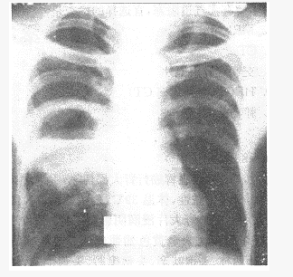
阅读胸片

病灶部位()