根据我国《保险法》的规定,在人身保险合同中,被保险人或者投保人可以变更受益人并书面通知保险人。保险人收到变更受益人的书面通知后,应当在保险单上批注()。
5岁男性,有不洁饮食史,自觉胸痛,气急,咳果酱色黏痰,CT示肺内多发边缘模糊斑片状影,内有多个空洞,空洞壁厚薄不均,部分空洞内有条状高密度影,最可能的诊断是() 过敏性肺炎。 急性肺脓肿。 肺吸虫病。 大叶性肺炎。 肺钩端螺旋体病。
根据我国《保险法》的规定,保险公司的组织机构,适用公司法和合同法的规定()。
根据我国《保险法》的规定,经营有人寿保险业务的国内保险公司,除分立.合并外,不得解散,但外资保险公司除外()。
根据我国《保险法》的规定,保险公司有义务加强对保险经纪人的培训和管理()。
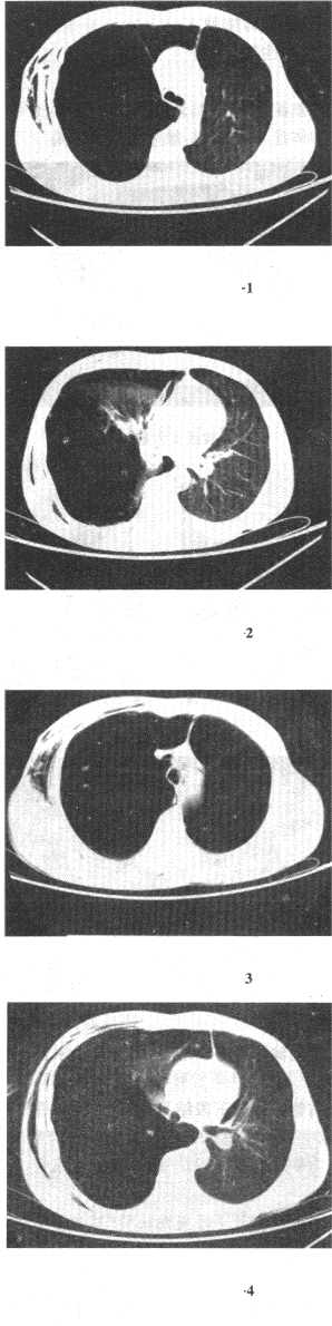
患者男,32岁,被车撞伤后1个小时急诊行CT检查。结合图像,最可能的诊断为()
