责任保险的保险人承保被保险人对第三者造成的财产损失和人身伤害依法应负的经济赔偿责任。这里的财产损失是指()。 估算财产损失。 间接财产损失。 直接财产损失。 未来财产损失。
土地处分权不包括的内容有()。 土地出让。 土地转让。 土地出租。 土地使用。
以被保险人依法或依契约应对第三者承担的经济赔偿责任为保险标的的一种保险称为()。 保证保险。 责任保险。 信用保险。 赔偿保险。
标准体(也称健体)是指死亡危险程度属于正常范围的被保险人群体的总称,标准体的实际死亡率与预定死亡率之间的大小关系是()。 实际死亡率与预定死亡率大致相符。 实际死亡率远远大于其预定死亡率。 实际死亡率远远小于其预定死亡率。 实际死亡率与预定死亡率无法比较。
下列不属于土地权属争议证据类型内容的是()。 人民政府或者司法机关处理争议的文件或者附图。 人民政府颁发的确定土地权属的凭证。 争议双方当事人依法达成的书面协议。 调解应当符合自愿、合法原则,不得强迫。
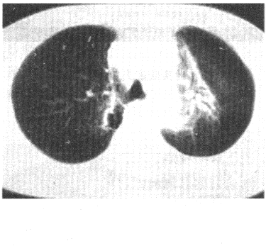
淋巴瘤患者放疗后3个月出现气急咳嗽,CT检查如图所示,最可能的诊断是()
