由抗体介导的补体途径是() 经典途径。 MBL途径。 旁路途径。 第二途径。 以上均不对。
患者,男,56岁。左上后牙咬合不适2个月余,夜间疼痛2天。检查:左上6未见明显龋损,近中疑似有一裂纹,叩(+),咬诊引起撕裂样疼痛,温度测试引起持续性疼痛。对该牙的处理以下哪一项不正确() 降低咬合。 制作带环。 牙髓治疗。 根管治疗后冠修复。 磨除裂纹充填。
神经衰弱最主要的症状是() 烦恼、易激惹与紧张。 头晕眼花、耳鸣。 睡眠障碍。 精神易疲劳。 肌肉紧张性疼痛。
关于行政复议期间行政行为的执行的叙述中,有误的是()。 行政复议期间,具体行政行为原则上不停止执行。 被申请人认为需要停止执行的,可以停止具体行政行为。 申请人认为需要停止执行,可以停止具体行政行为。 行政复议机关认为需要停止执行的可以停止具体行政行为。
神经症的症状不包括() 精神易兴奋。 多种躯体不适感。 强迫症状。 焦虑、惊恐。 幻觉、妄想等症状。
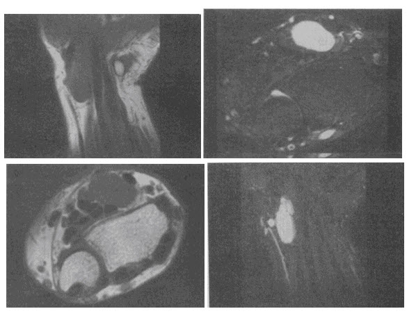
男,69岁,腕部肿块1年,结合图像,最可能的诊断是()